Oculista esperto in chirurgia vitroretinica, maculopatie, glaucoma e cataratta
Il Dott. Acquaviva Antonio, oculista con anni di esperienza a Bari, è specializzato nella diagnosi e nel trattamento delle principali patologie oculari che possono compromettere la salute visiva. Grazie a competenze avanzate in chirurgia vitroretinica, nella gestione di maculopatie, nel trattamento del glaucoma e nell’intervento di cataratta, offre un approccio mirato, basato su tecniche moderne e protocolli scientifici consolidati.
Chirurgia vitroretinica: un approccio mirato alle patologie retiniche
La chirurgia vitroretinica è una delle aree di maggiore specializzazione del Dott. Acquaviva. Si tratta di interventi complessi che permettono di trattare disturbi come il distacco di retina, i fori maculari o le complicazioni dovute al diabete. Grazie all’utilizzo di strumentazioni microscopiche e tecniche mininvasive, è possibile migliorare la prognosi e ridurre i tempi di recupero, garantendo al paziente un percorso sicuro e accurato.
TRATTAMENTO DELLE MACULOPATIE
Le maculopatie rappresentano una delle principali cause di riduzione visiva nelle persone adulte e anziane. Il Dott. Acquaviva si occupa della diagnosi precoce e della gestione terapeutica di queste patologie, incluse la degenerazione maculare senile e le forme correlate a disturbi vascolari o metabolici. L’obiettivo è preservare il più possibile la funzione visiva attraverso terapie farmacologiche mirate o, quando necessario, interventi chirurgici.
CURA E GESTIONE DEL GLAUCOMA
Il glaucoma è una malattia cronica che, se non trattata, può condurre a danni irreversibili al nervo ottico. Il Dott. Acquaviva offre un percorso personalizzato che parte dalla diagnosi con esami specifici fino alla scelta della terapia più idonea, farmacologica o chirurgica. L’approccio è basato sul monitoraggio costante, fondamentale per mantenere sotto controllo la pressione intraoculare e limitare la progressione della malattia.
INTERVENTO DI CATARATTA
La cataratta è una delle patologie oculari più comuni, soprattutto con l’avanzare dell’età.
Il Dott. Acquaviva esegue interventi di rimozione del cristallino opacizzato con l’impianto di lenti intraoculari di ultima generazione.
Questo tipo di chirurgia consente di ripristinare una visione nitida e di migliorare in modo significativo la qualità della vita quotidiana.
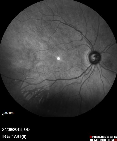
Diagnostica oculistica avanzata
Oltre alle attività chirurgiche, il Dott. Acquaviva si avvale di tecnologie diagnostiche moderne per valutare in modo accurato lo stato di salute degli occhi. Esami come la tomografia a coerenza ottica (OCT), la pachimetria corneale e la misurazione del campo visivo sono strumenti fondamentali per un inquadramento completo e per la definizione del percorso terapeutico più efficace.












